口腔重建是指重建與恢復口腔的健康及穩定的咬合能力,這其中包括對牙齒、牙周組織、咀嚼肌群、顳顎關節及美觀等做整體性的評估,依評估的結果,以恢復穩定咬合、提昇美觀等目標做整體治療。什麼人需要全口復健?當口內缺牙太多、牙齒咬合高度喪失,導致咬合不穩定,或是牙周病很嚴重,導致齒槽骨的破壞、咬合崩塌,這些情況必須全口重新建立上下支撐,恢復穩定的咬合關係。穩定的咬合關係,必須仔細考量中心咬合位及中心關係,如果兩者關係不安定(>0.5-1 mm)就容易造成顳額關節適應性障礙,如頭頸部疼痛、下巴張不開或易脫滑、顳顎關節卡卡聲等。所以要達到口腔重建的目標,我們必須了解求診者的主訴,醫師蒐集臨床上的口內外相片、X光、牙齒、牙周、顎關節肌肉、美觀等檢查資料,和各科醫師群做綜合診斷整體治療之計畫分析、評估、治療方案等考量形成治療計畫,再與患者做充分的溝通,在專任管理師協助流程控管,才可能達到最穩定理想的治療結果。

固定式義齒

傳統牙冠牙橋

『牙冠』通常針對根管治療後的牙齒或齒質缺損過多的牙齒,以牙冠包覆起來。
『牙橋』則是針對牙齒拔除後之缺牙區,利用前後端之牙齒作支柱牙,才能將義齒固定於其上 ,所以其咀嚼功能很好,而且不必拿下來。
馬里蘭牙橋

「黏著性假牙」在牙科的發展,源起自1981年,由美國馬里蘭大學,Dr. Von Thompson所創造設計的,坊間亦有些牙醫師稱之為「馬里蘭牙橋」,它的應用原理很簡單,即是利用兩旁牙齒表面琺瑯質適度的圍抱型態,製作出連繫中央缺牙部位而為一體成型的金屬架構,修復所缺損的牙齒,而主要的特性是藉強力牙科用黏著劑與兩旁齒質粘結架起,以回復美觀之外型和健全的咬合功能。
陶瓷崁體、冠塊體

當患者牙齒抽過神經,或蛀洞過大時,傳統上會在真牙外層套上假牙,保護脆弱的牙齒;但假牙對牙齒的修磨過多,已非最理想的治療方式。
陶瓷嵌體,也就是3D齒雕,是利用強度與顏色皆和真牙相仿的陶瓷,如拼圖般補上牙齒的缺損處,不但恢復牙齒強度,也能為患者保留更多的齒質。
陶瓷貼面

牙齒貼片(有時稱為陶瓷貼片或牙科瓷貼)為薄薄的一片,主要用於改變牙齒的顏色、形狀、大小或長度,黏貼位置於覆蓋牙齒的表面以改善外觀。
材質可以由陶瓷或樹脂複合材料製成。陶瓷貼片比樹脂貼片更能抵抗污漬,更好模仿天然牙齒的光反射特性。
口腔重建模型分析

我們會將兩組模型放置到咬合器上,一組是原來的,一組是準備做改變的,配合動態面弓的分析,我們可以在咬合器上重塑下顎的運動
模型上蠟型製作

通常前牙的蠟型是由醫師所製作,然後再將模型交予技師製作後牙的蠟型,有了這樣理想的蠟型,我們可以將這些資訊轉移到口內,讓患者去嘗試了解未來最後膺復物可能的狀況
口內臨時假牙測試

通常臨時假牙會製作兩付到三付,而最後的一付臨時假牙,其外型、咬合等與最終正式的假牙相當的接近,患者這一付臨時假牙會適應兩到三個月,我們會觀察他的外型、美觀以及咬合等是否符合患者的需求
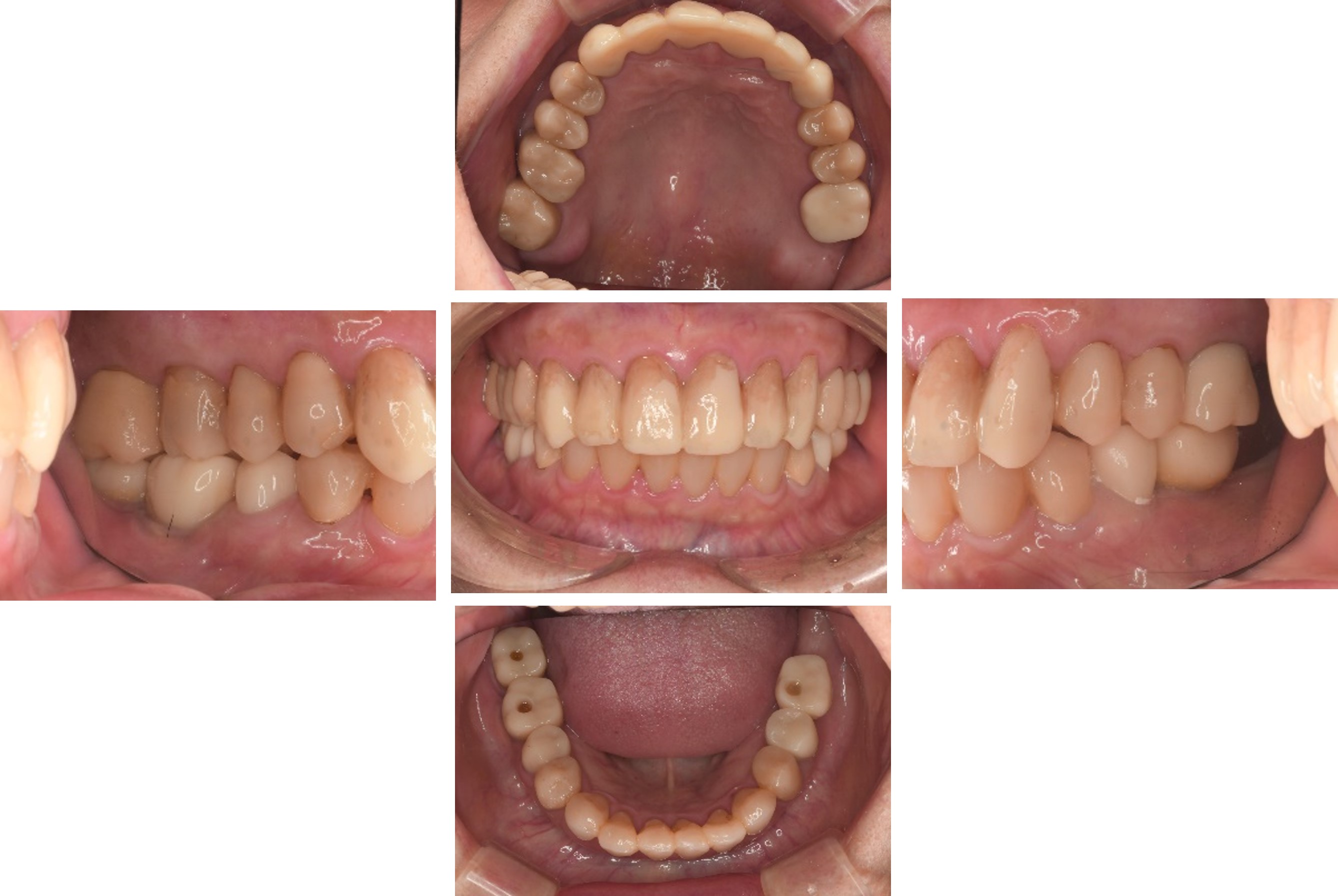
最終固定假牙裝戴

爾後我們開始印模製作最終的正式假牙,有時醫師會一口氣印全口的模型,有時會分段的印模,但無論如何總是參考原始的臨時假牙來製作,然後將這些假牙黏著後,我們會微調以及觀察患者的適應情況,這樣的口腔重建才是最理想的
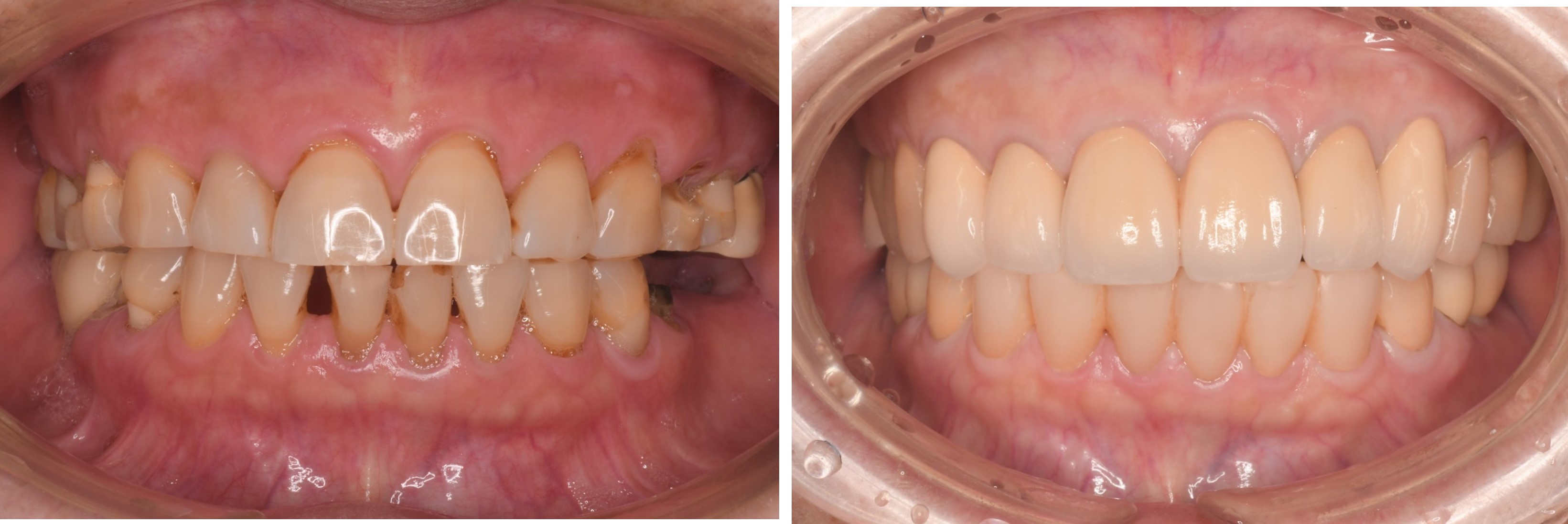
術前、術後比較

口腔重建是一個相當複雜而且龐大的題目,透過理想的術前分析、臨時假牙製作、以及跨科醫師的協助,最終醫師再製作正式的膺復物黏著,這樣的口內重建才能得到理想穩定的結果